Skip to content Skip to sidebar Skip to footer

Tommy John Surgery Images : Baseball S New Age Epidemic Tommy John Surgery St Louis Cardinals Stltoday Com : Here is the description of what happened, according to a gofundme fundraiser organized.

Tommy John Surgery Images : Baseball S New Age Epidemic Tommy John Surgery St Louis Cardinals Stltoday Com : Here is the description of what happened, according to a gofundme fundraiser organized.. The procedure is common among collegiate and professional athletes in several sports, particularly in baseball. Select from premium tommy john surgery of the highest quality. Rehabilitation after tommy john surgery. Noah syndergaard missed the entire 2020 season after undergoing tommy john surgery. Baek endured injuries throughout the season before he had to undergo tommy john surgery,.

Browse 187 tommy john surgery stock photos and images available, or start a new search to explore more stock photos and images. This surgery is performed when the ucl starts to fail, and it is classically used on athletes, because they tend to damage this ligament more. It uses tendons from elsewhere in the body to repair damage to the. Tommy john surgery is a procedure that reconstructs a torn ulnar collateral ligament. Select from premium tommy john surgery of the highest quality.

Why Tommy John Doesn T Like The Surgery That Bears His Name Regenexx
Why Tommy John Doesn T Like The Surgery That Bears His Name Regenexx from regenexx.com
Über 7 millionen englischsprachige bücher. See more ideas about tommy john, tommy, surgery. Sang ho baek gmu pitcher dies after tommy john surgery by matthew stabley • published 1 hour ago education images/universal images group via getty images. Tommy john surgery, named for the major league pitcher who underwent the revolutionary surgery in 1974 and rejuvenated his career, is ulnar collateral ligament reconstruction.the surgery repairs a. The graft is placed through tunnels drilled the ulna (bottom bone) and in the humerus (top bone) of the elbow. The most common graft is the palmaris tendon. Team to lose one of the young prospects on the roster for olympic qualifying next week. George mason university baseball player dies after tommy john surgery sang ho baek, 20, was an incredible teammate who was loved by everyone associated with mason baseball, his coach said.

Find the perfect tommy john surgery stock photos and editorial news pictures from getty images.

Team to lose one of the young prospects on the roster for olympic qualifying next week. Browse 187 tommy john surgery stock photos and images available, or start a new search to explore more stock photos and images. Schwartzberg, a board certified orthopaedic surgeon specializing in sports medicine, discusses what's involved with. See more ideas about tommy john, tommy, surgery. Tommy john, the national leagues' winningest pitcher, chills his. Find the perfect tommy john surgery stock photos and editorial news pictures from getty images. The most common graft is the palmaris tendon. W07e5f (rm) topps baseball card depicting tommy john with the california angels in 1983. Noah syndergaard missed the entire 2020 season after undergoing tommy john surgery. Losing justin verlander is massive blow to astros' present and future as big decisions loom with ace justin verlander out for tommy john surgery, the houston astros may have to step back and make difficult decisions about their future. Sang ho baek, 20, had been battling injuries throughout the season, a teammate said, and underwent tommy john surgery, a relatively common procedure for pitchers. It uses tendons from elsewhere in the body to repair damage to the. The rehabilitation protocol after a tommy john surgery typically involves three phases.

Find the perfect tommy john surgery stock photos and editorial news pictures from getty images. Noah syndergaard missed the entire 2020 season after undergoing tommy john surgery. A tommy john surgery is a surgical procedure in which the ulnar collateral ligament (ucl), a key ligament in the elbow, is replaced with a tendon from elsewhere in the body. George mason university baseball player dies after tommy john surgery sang ho baek, 20, was an incredible teammate who was loved by everyone associated with mason baseball, his coach said. Gmu pitcher dies after tommy john surgery by matthew stabley • published june 18, 2021 • updated on june 18, 2021 at 7:50 pm education images/universal images group via getty images

Tommy John Surgery For Kids Youth Athletes Suffering Severe Adult Sports Injuries At Alarming Rates The Mercury News
Tommy John Surgery For Kids Youth Athletes Suffering Severe Adult Sports Injuries At Alarming Rates The Mercury News from www.mercurynews.com
The most common graft is the palmaris tendon. Losing justin verlander is massive blow to astros' present and future as big decisions loom with ace justin verlander out for tommy john surgery, the houston astros may have to step back and make difficult decisions about their future. A tommy john surgery is a surgical procedure in which the ulnar collateral ligament (ucl), a key ligament in the elbow, is replaced with a tendon from elsewhere in the body. Tommy john surgery news, photos, videos and tweets opinion: Über 7 millionen englischsprachige bücher. Elattrache, head physician for the los angeles dodgers. It uses tendons from elsewhere in the body to repair damage to the. Here is the description of what happened, according to a gofundme fundraiser organized.

Morejon came out of his second start of the season, at texas on.

Sang ho baek gmu pitcher dies after tommy john surgery by matthew stabley • published 1 hour ago education images/universal images group via getty images. The graft is placed through tunnels drilled the ulna (bottom bone) and in the humerus (top bone) of the elbow. Losing justin verlander is massive blow to astros' present and future as big decisions loom with ace justin verlander out for tommy john surgery, the houston astros may have to step back and make difficult decisions about their future. Find the perfect tommy john surgery stock photos and editorial news pictures from getty images. Tommy john surgery is a procedure that reconstructs a torn ulnar collateral ligament. George mason university baseball player dies after tommy john surgery sang ho baek, 20, was an incredible teammate who was loved by everyone associated with mason baseball, his coach said. (cnn)college baseball pitcher sang ho baek died following complications from ulnar collateral ligament reconstruction, commonly known as tommy john surgery, according to a verified gofundme page. Sang ho baek suffered injuries throughout the season and required tommy john surgery, according to a gofundme. Ulnar collateral ligament reconstruction, also known as tommy john surgery (tjs), is a surgical graft procedure where the ulnar collateral ligament in the medial elbow is replaced with either a tendon from elsewhere in the patient's body, or with one from a deceased donor. A pitcher on the george mason university baseball team died saturday at 20 years old, according to the athletic department. Ucl reconstruction or tommy john surgery is performed by using a tendon graft to replace the ucl (see pictures of procedure below). Text us for exclusive photos and videos, royal news, and way more. The most common graft is the palmaris tendon.

Rehabilitation after tommy john surgery. Sang ho baek, 20, had been battling injuries throughout the season, a teammate said, and underwent tommy john surgery, a relatively common procedure for pitchers. Mary mcmahon tommy john surgery is relatively common among baseball pitchers. The graft is placed through tunnels drilled the ulna (bottom bone) and in the humerus (top bone) of the elbow. It uses tendons from elsewhere in the body to repair damage to the.

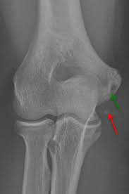
Ulnar Collateral Ligament Reconstruction Tommy John Surgery Eorthopod Com
Ulnar Collateral Ligament Reconstruction Tommy John Surgery Eorthopod Com from eorthopod.com
The most common graft is the palmaris tendon. Sang ho baek gmu pitcher dies after tommy john surgery by matthew stabley • published 1 hour ago education images/universal images group via getty images. He's since been hospitalized on two other occasions, including a third time. The rehabilitation protocol after a tommy john surgery typically involves three phases. Sang ho baek suffered injuries throughout the season and required tommy john surgery, according to a gofundme. Select from premium tommy john surgery of the highest quality. But it's sometimes done on younger people as well. Mary mcmahon tommy john surgery is relatively common among baseball pitchers.

The most common graft is the palmaris tendon.

Tommy john surgery news, photos, videos and tweets opinion: The rehabilitation protocol after a tommy john surgery typically involves three phases. See more ideas about tommy john, tommy, surgery. The procedure is common among collegiate and professional athletes in several sports, particularly in baseball. Tommy john iii holds the original cast signed by the 1974 los angeles dodgers from the surgery performed on his father, former major league baseball. The most common graft is the palmaris tendon. (cnn)college baseball pitcher sang ho baek died following complications from ulnar collateral ligament reconstruction, commonly known as tommy john surgery, according to a verified gofundme page. The graft is placed through tunnels drilled the ulna (bottom bone) and in the humerus (top bone) of the elbow. George mason university baseball player dies after tommy john surgery sang ho baek, 20, was an incredible teammate who was loved by everyone associated with mason baseball, his coach said. Team to lose one of the young prospects on the roster for olympic qualifying next week. Gmu pitcher dies after tommy john surgery by matthew stabley • published june 18, 2021 • updated on june 18, 2021 at 7:50 pm education images/universal images group via getty images Losing justin verlander is massive blow to astros' present and future as big decisions loom with ace justin verlander out for tommy john surgery, the houston astros may have to step back and make difficult decisions about their future. See more ideas about tommy john, pro athletes, baseball pitcher.